Beyin dokusunun zamanla incelmesi, sinir hücrelerinin ölümü veya bağlantıların zayıflamasıyla kendini gösteren bu durum, özellikle ileri yaşlarda ciddi sağlık sorunlarına yol açabilir.
Beyin küçülmesi nedir?
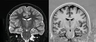
Beyin küçülmesi, beynin hacminde azalma olarak tanımlanır. Bu süreç genellikle unutkanlık, denge bozukluğu, konuşma güçlüğü ve düşünme hızında yavaşlama gibi belirtilerle ortaya çıkar. İleri evrelerde demans ve Alzheimer gibi nörolojik hastalıklarla ilişkilendirilebilir.
Beyin küçülmesi kaç yaşında başlar?
Beyin hacmi genellikle 30 yaşından itibaren yavaş yavaş azalmaya başlar. Ancak süreç kişiden kişiye değişir; genetik faktörler, yaşam tarzı, beslenme alışkanlıkları ve kronik hastalıklar süreci hızlandırabilir.
Beyin küçülmesi nasıl önlenir?
Beyin sağlığını korumak için:
-
Düzenli egzersiz yapmak,
-
Omega-3 yağ asitlerinden zengin balık ve bol sebze-meyve tüketmek,
-
Yeterli uyku almak,
-
Zihinsel aktiviteler yapmak,
-
Sigara ve alkolden uzak durmak,
-
**Stresi yönetmek
Bu önlemler beyin fonksiyonlarını destekler ve küçülme sürecini yavaşlatabilir.
Hangi vitaminler beyin sağlığı için önemli?
-
B12 vitamini ve folik asit: Sinir hücrelerinin sağlığı için kritik.
-
D vitamini ve E vitamini: Beyin dokusunu korumaya yardımcı olur.
Düzenli kan testleriyle vitamin seviyelerini kontrol etmek, eksikliklerin önüne geçebilir.
Beyin Küçülmesi Belirtileri ve Tedavisi
Beyin küçülmesi, baş dönmesi, denge kaybı, konuşma bozukluğu, unutkanlık veya kişilik değişiklikleriyle fark edilebilir. Erken tanı nöroloji uzmanları tarafından yapılır; MR görüntüleme, kan testleri ve nöropsikolojik değerlendirmeler sürece yardımcı olur. İlaç tedavisi tamamen durdurmasa da süreci yavaşlatabilir; anti-dementif ilaçlar, kolinesteraz inhibitörleri ve B12 takviyeleri doktor kontrolünde kullanılabilir.





